Global Insight Media.

Your daily source of verified news and insightful analysis

science

What is a coronal view of the brain

By Matthew Harrington

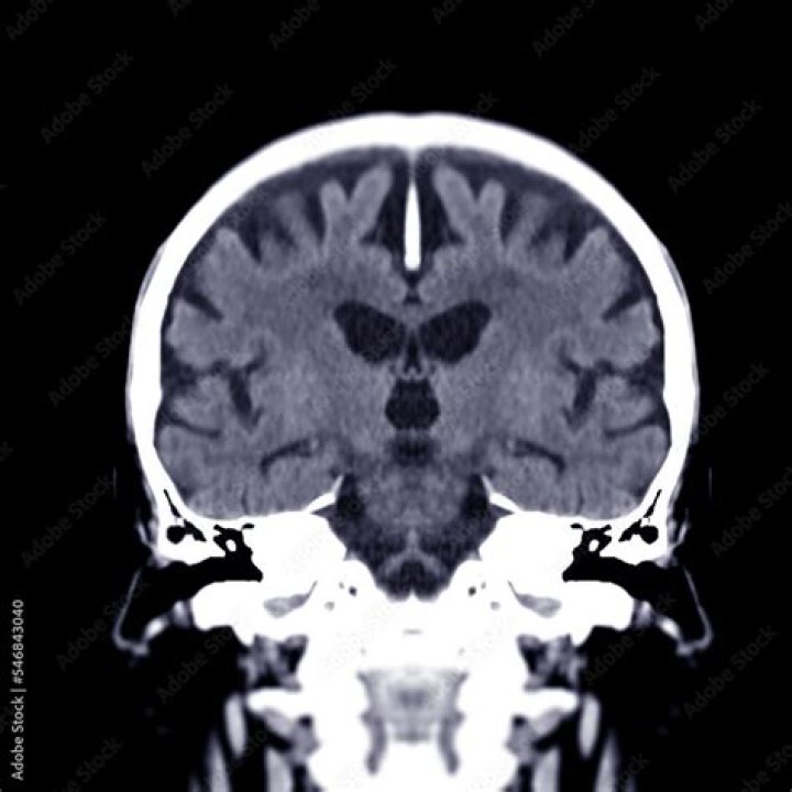
A coronal section is one that separates the brain into anterior and posterior halves. The coronal section shown in Figure 19a occurs approximately halfway between these two poles, and helps to show the placement of some of the major internal structures of the brain that will be referred to elsewhere.

What is the coronal view?

A coronal plane (also known as the frontal plane) is any vertical plane that divides the body into ventral and dorsal (belly and back) sections. It is one of the three main planes of the body used to describe the location of body parts in relation to each other axis.

What does coronal mean in anatomy?

Coronal Plane (Frontal Plane) – A vertical plane running from side to side; divides the body or any of its parts into anterior and posterior portions.

What are the different views of brain?

Viewing the brain in two dimensions These are typically viewed in three different planes: the sagittal, coronal, or axial planes.

What is the difference between a frontal and a coronal cut?

Frontal plane—A vertical cut that separates the front from the back of the specimen. Also known as a coronal plane. … Parasagittal plane—A vertical cut that is off-center that separates the left of the specimen from the right in unequal portions.

What is a coronal MRI?

• This type of magnetic resonance imaging (MRI) study looks at the brain with 28 coronal (vertical – side to side) cuts that begin at the back of the brain and work forward.

Is coronal same as sagittal?

A coronal (also known as frontal) plane is perpendicular to the ground; in humans it separates the anterior from the posterior, the front from the back, the ventral from the dorsal. A sagittal (also known as anteroposterior) plane is perpendicular to the ground, separating left from right.

What are the 3 major parts of the brain and their functions?

The brain has three main parts: the cerebrum, cerebellum and brainstem. Cerebrum: is the largest part of the brain and is composed of right and left hemispheres. It performs higher functions like interpreting touch, vision and hearing, as well as speech, reasoning, emotions, learning, and fine control of movement.

What are the 3 types of the brain?

The brain can be divided into three basic units: the forebrain, the midbrain, and the hindbrain. The hindbrain includes the upper part of the spinal cord, the brain stem, and a wrinkled ball of tissue called the cerebellum (1).

What are the five functions of the brain?
  • Attention and concentration.
  • Self-monitoring.
  • Organization.
  • Speaking (expressive language) • Motor planning and initiation.
  • Awareness of abilities and limitations.
  • Personality.
  • Mental flexibility.
  • Inhibition of behavior.
Article first time published on

What's a synonym for coronal?

In this page you can discover 13 synonyms, antonyms, idiomatic expressions, and related words for coronal, like: wreath, garland, chaplet, lei, photospheric, solar-corona, low mass, infall, annular, transverse and point-like.

Is coronal and transverse the same?

A coronal or frontal plane divides the body into dorsal and ventral (back and front, or posterior and anterior) portions. A transverse plane, also known as an axial plane or cross-section, divides the body into cranial and caudal (head and tail) portions.

What does coronal mean in linguistics?

In phonology and phonetics, coronal is a feature which characterizes sounds that are produced by raising the tongue blade (including the tip of the tongue) from its neutral position towards the teeth or the hard palate.

What body parts are in the coronal plane?

  • A coronal or frontal plane divides the body into dorsal and ventral (back and front, or posterior and anterior) portions.
  • A transverse plane, also known as an axial plane or cross-section, divides the body into cranial and caudal (head and tail) portions.

What is the oblique plane?

An oblique plane in the anatomical position describes any plane that is not in any of the coronal, sagittal, median or horizontal planes.

Which body plane S would allow you to see the brain and the spinal cord?

Part (a.) In order for a plane to provide a view of both the spinal cord and the right lung, we would need to use the sagittal plane, specifically a parasagittal plane with the ‘line’ off centered towards the left, creating a larger right side portion to include the spinal cord.

Which major organ lies deep to the right hypochondriac region?

Which major organ lies deep to the right hypochondriac region? Answer is C: hypochondriac = below the rib cartilage; liver is located mostly on the right side.

What is cardinal plane?

The CARDINAL PLANES There are three basic planes used in anatomical description: The frontal, transverse and sagittal planes (Figure 1). These cardinal planes intersect at the body’s theoretical center of gravity or center of mass.

What are the 3 anatomical planes?

  • Sagittal Plane: Cuts the body into left and right halves. Forward and backward movements.
  • Frontal Plane: Cuts the body into front and back halves. Side-to-side movements.
  • Transverse Plane: Cuts the body into top and bottom halves.

What does ti mean in MRI?

The time between the 180° inverting pulse and the 90°-pulse is called the inversion time (TI). The repetition time (TR) and echo time (TE) are defined as they are for spin echo.

What does A and P mean on MRI?

A PET/MRI scan is a two-in-one test that combines images from a positron emission tomography (PET) scan and a magnetic resonance imaging (MRI) scan. This new hybrid technology harnesses the strengths of PET and MRI to produce some of the most highly detailed pictures of the inside of your body currently available.

What does stir mean in radiology?

STIR (Short Tau Inversion Recovery) images are highly water-sensitive and the timing of the pulse sequence used acts to suppress signal coming from fatty tissues – so ONLY WATER is bright. A combination of standard T1 images and STIR images can be compared to determine the amount of fat or water within a body part.

Does the brain feel pain?

Answer: There are no pain receptors in the brain itself. But he meninges (coverings around the brain), periosteum (coverings on the bones), and the scalp all have pain receptors. Surgery can be done on the brain and technically the brain does not feel that pain.

What color is the brain?

The human brain color physically appears to be white, black, and red-pinkish while it is alive and pulsating. Images of pink brains are relative to its actual state. The brains we see in movies are detached from the blood and oxygen flow result to exhibit white, gray, or have a yellow shadow.

What is brain made of?

Brains are made of soft tissue, which includes gray and white matter, containing the nerve cells, non-neuronal cells (which help to maintain neurons and brain health), and small blood vessels. They have a high water content as well as a large amount (nearly 60 percent ) of fat.

What part of the brain is most important?

The brain stem is regarded by many as the most important part of the entire brain and nervous system. It is connected to the spine and carries out the task of sending messages to all parts of the body. Every physical movement in the body is carried out in some capacity from the brain stem.

How does the brain process information?

Information processing starts with input from the sensory organs, which transform physical stimuli such as touch, heat, sound waves, or photons of light into electrochemical signals. The sensory information is repeatedly transformed by the algorithms of the brain in both bottom-up and top-down processing.

How does the brain make decisions?

It is well known that the decision-making process results from communication between the prefrontal cortex (working memory) and hippocampus (long-term memory). However, there are other regions of the brain that play essential roles in making decisions, but their exact mechanisms of action still are unknown.

What are 10 facts about the brain?

  • Sixty percent of the human brain is made of fat. …
  • Your brain isn’t fully formed until age 25. …
  • Your brain’s storage capacity is considered virtually unlimited. …
  • Brain information travels up to an impressive 268 miles per hour. …
  • On average, your spinal cord stops growing at 4 years old.

How important the brain is?

The brain is arguably the most important organ in the human body. It controls and coordinates actions and reactions, allows us to think and feel, and enables us to have memories and feelings—all the things that make us human.

What is brain simple words?

The brain is the part of the body which lets animals make sense of things. It gets input from sense organs, and changes behavior in response to this information. In humans, the brain also controls our use of language, and is capable of abstract thought. The brain is the main control centre of the whole body.